咨询电话

15221734409

当前位置:首页  >  技术文章  >  本周模型之— 肺动脉高压模型

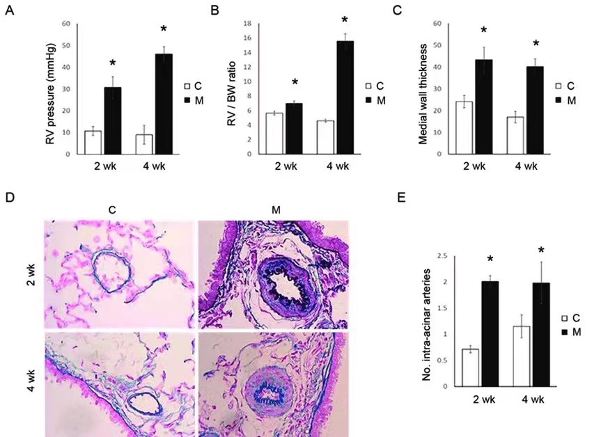
本周模型之— 肺动脉高压模型

更新时间:2023-12-21 15:31:34       点击次数:1243

2.jpg

3.jpg

如想了解更多模型咨询,欢迎咨询乐鱼网页版登录入口生物!

扫码关注

邮箱:https://www.80808888.com

地址:上海市宝山区长江南路180号长江软件园B650

版权所有© 乐鱼网页版登录入口-乐鱼(中国) All Rights Reserved    备案号:沪ICP备2021016661号-1     sitemap.xml    管理登陆    技术支持:化工仪器网    

沪公网安备 31011302006672号