欢迎来到乐鱼网页版登录入口网站!该研究探讨了3-氧酸辅酶A转移酶1(OXCT1)在肝细胞癌(HCC)中的免疫调节作用,特别是其在肿瘤相关巨噬细胞(TAMs)中的作用,以及如何通过调节CD8+ T细胞的抗肿瘤免疫反应来影响HCC的进展。文章的主要发现和结论如下:

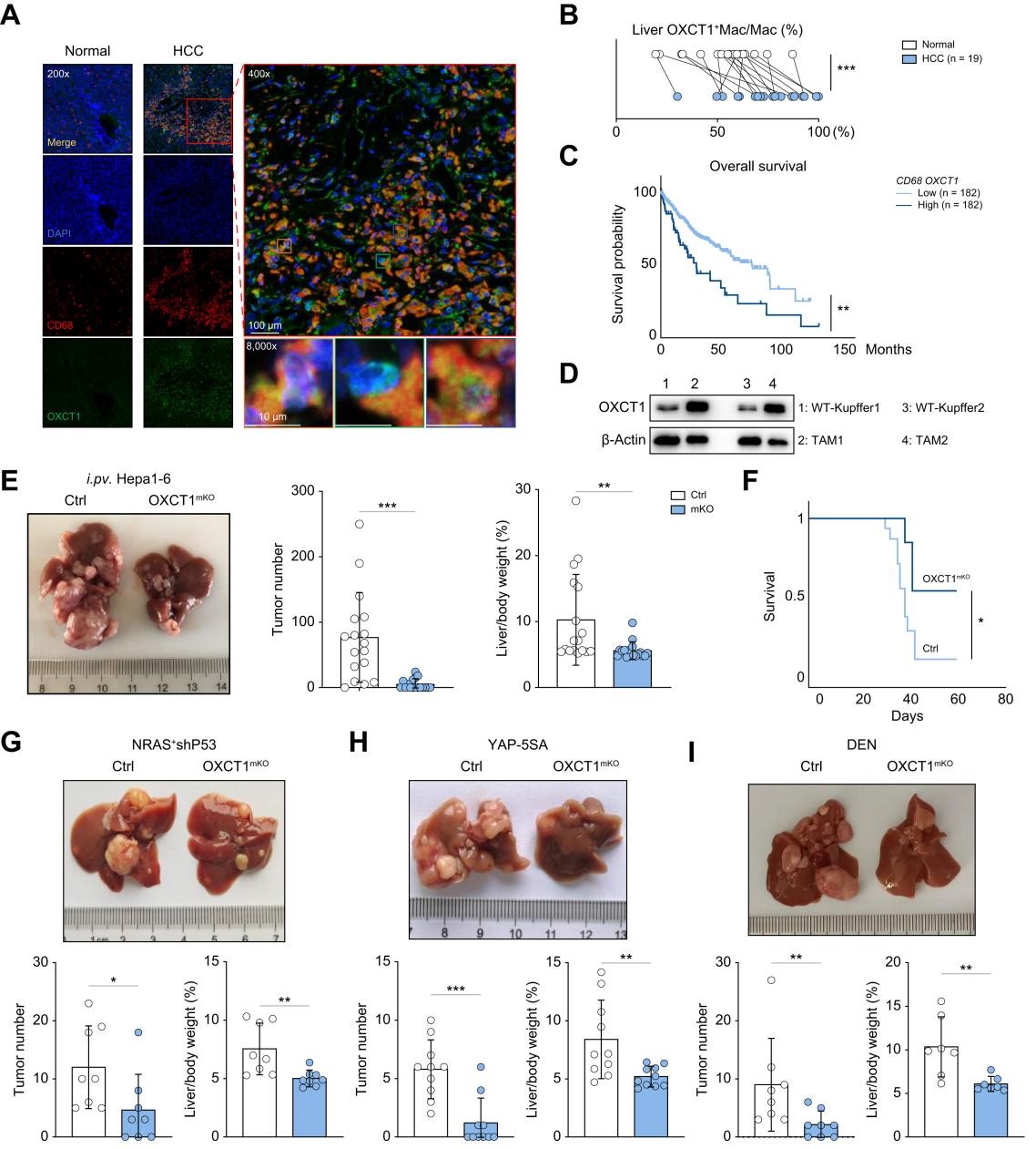
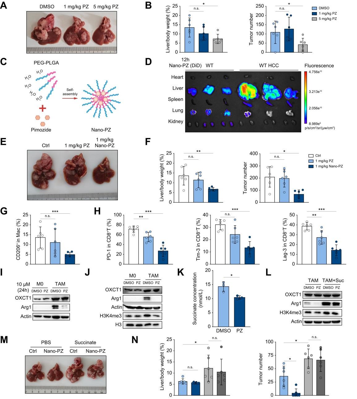
OXCT1在HCC中的作用:研究发现,OXCT1在HCC细胞中高表达,并通过促进肿瘤进展来激活酮解作用。此外,OXCT1在TAMs中的表达也增加,且与患者的预后不良相关。
乐鱼网页版登录入口生物已建立完善的生物信息学分析与靶点挖掘平台,涵盖常见的人、小鼠、大鼠等物种的自测数据和公共数据分析。该研究中所使用的转录组测序、单细胞测序、细胞通讯、轨迹分化等分析和结果结果,我们均可以实现。

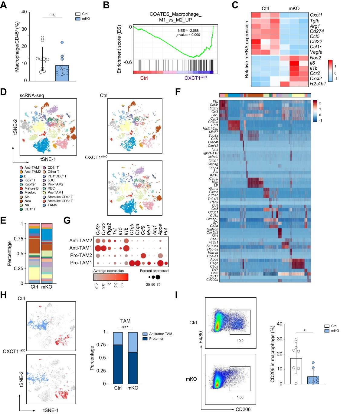
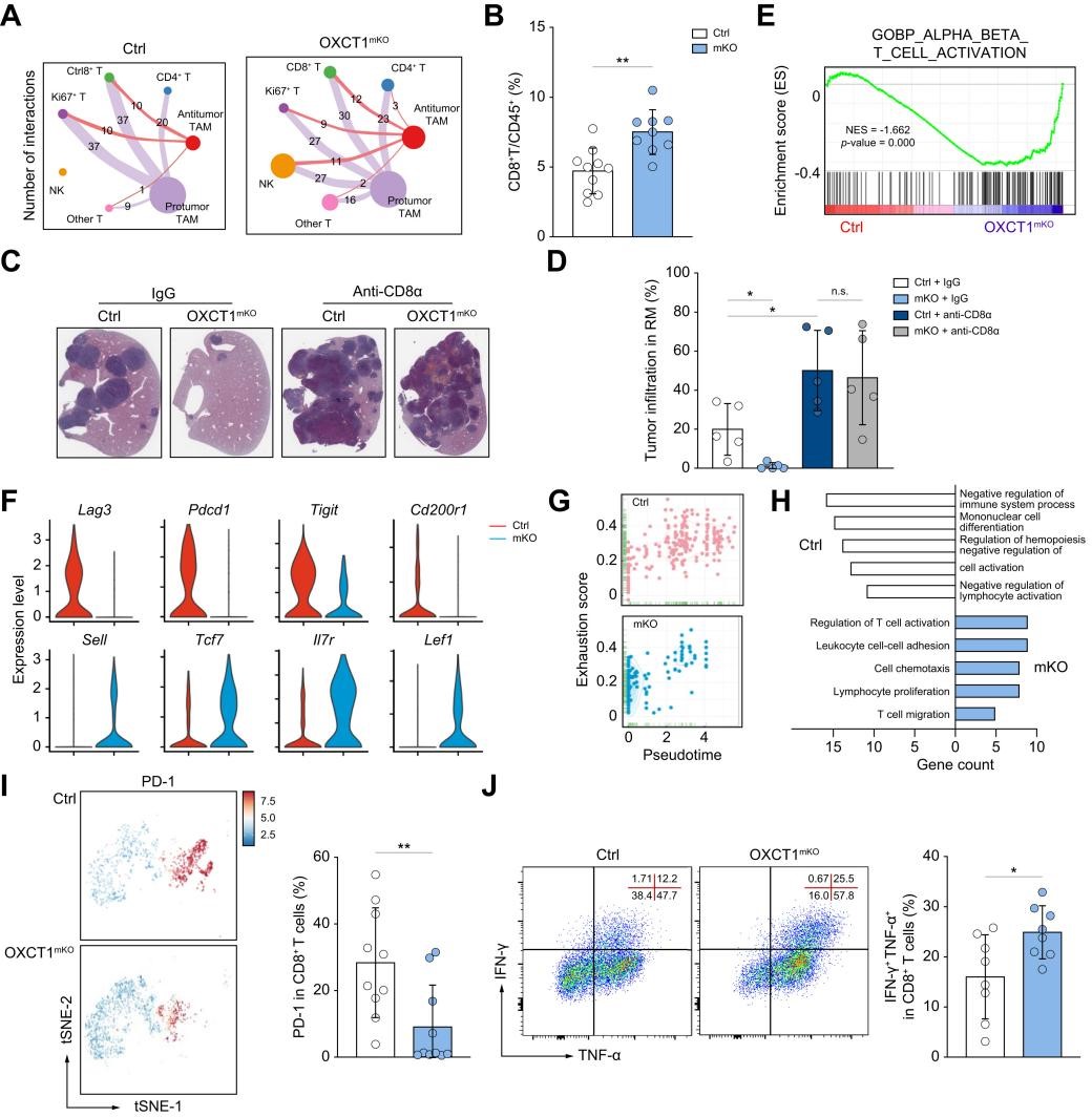
OXCT1对TAMs的影响:研究通过在小鼠模型中敲除巨噬细胞中的OXCT1(OXCT1mKO或mKO),发现OXCT1的缺失可以抑制肿瘤生长,通过重新编程TAMs向抗肿瘤表型转变,减少CD8+ T细胞的耗竭,并增加CD8+ T细胞的细胞毒性。

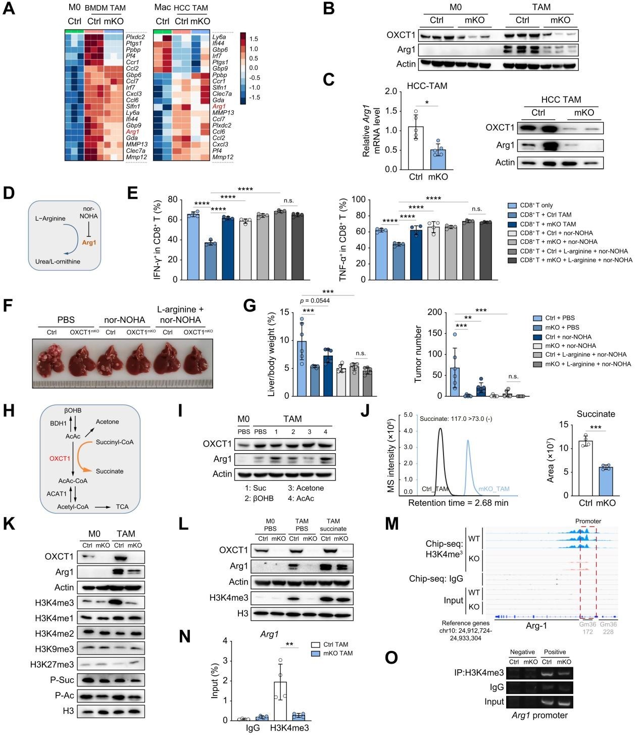
OXCT1、琥珀酸和Arg1轴:研究揭示了OXCT1高表达在TAMs中诱导琥珀酸积累,琥珀酸通过增加Arg1启动子区域的H3K4me3水平来促进Arg1转录。此外,OXCT1的抑制剂Pimozide(PZ)能够抑制Arg1表达和TAMs向促肿瘤表型的极化,从而减少CD8+ T细胞的耗竭和减缓肿瘤生长。

OXCT1作为治疗靶点:研究表明,通过抑制OXCT1活性来治疗HCC是一种潜在的有效方法。研究还发现,PZ能够通过影响OXCT1-琥珀酸-H3K4me3-Arg1轴来抑制HCC生长。


研究方法:研究使用了多种方法,包括多重免疫组化实验、流式细胞术、RNA测序、单细胞RNA测序、ChIP测序、代谢物分离和液相色谱分析等。
结论:研究结果表明,OXCT1在TAMs中的活性抑制可以作为一种有效的HCC治疗方法,通过表观遗传学机制抑制抗肿瘤免疫反应。
这篇文章提供了关于OXCT1在HCC中作用的新见解,并为开发新的HCC治疗策略提供了科学依据。
