欢迎来到乐鱼网页版登录入口网站!具体流程如下:
1.24孔板使用前用0.1%明胶包被;
2.基础培养基是含10%小牛血清的高糖DMEM;
3.3T3-L1前脂肪细胞系复苏、传代到24孔板到长满孔板;
3.接触抑制48h后;
4.基础培养基加入含IBMX(0.5mmol/L)、地塞米松(1umol/L)、胰岛素(8ug/ml)的诱导剂48h;
5.加入含胰岛素的基础培养基4天;
6.换成常规培养基培养,48h后换液;
7.全部培养阶段观察细胞状态;
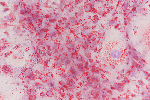
8.第12天,显微镜下看到明显的脂滴,油红O染色。
