咨询电话

15221734409

当前位置:首页  >  技术文章  >  C57小鼠L4-6背根神经节取材

C57小鼠L4-6背根神经节取材

更新时间:2026-03-23 15:33:44       点击次数:207

具体流程如下:

1. 小鼠断颈;

2. 俯卧位,去掉背部皮肤;

3. 以股骨为骨性标志,切开皮肤,分离筋膜,暴露坐骨神经;

4. 沿坐骨神经干向头侧逆行追踪,寻找椎间孔;

5. 暴露L4-6背根神经节;

6. 坐骨神经和L4-6背根神经节;

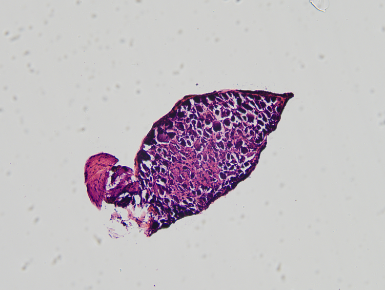
7. 背根神经节HE染色。

QQ20260323-153233.png

扫码关注

邮箱:https://www.80808888.com

地址:上海市宝山区长江南路180号长江软件园B650

版权所有© 乐鱼网页版登录入口-乐鱼(中国) All Rights Reserved    备案号:沪ICP备2021016661号-1     sitemap.xml    管理登陆    技术支持:化工仪器网    

沪公网安备 31011302006672号