欢迎来到乐鱼网页版登录入口网站!



相关文章
Related Articles详细介绍
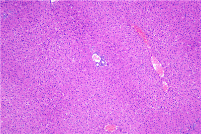
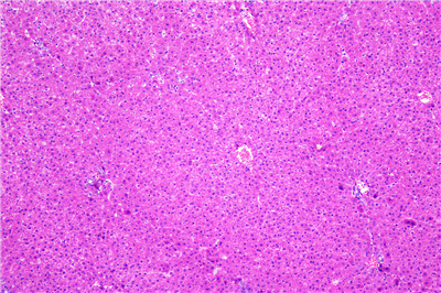
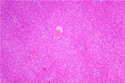
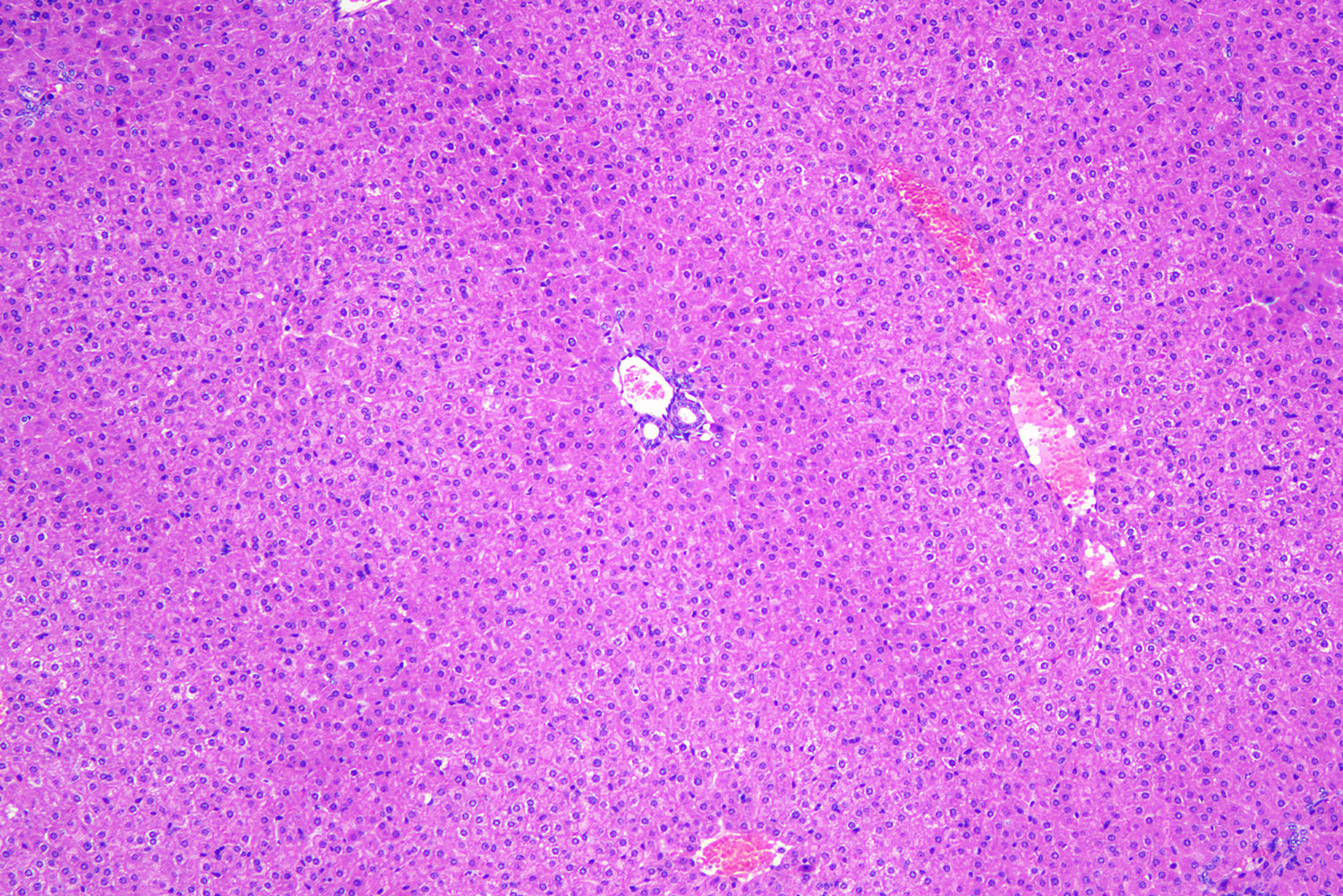
常规染色或HE(Haematoxylin and eosin)染色。它是病理技术中常用的一种方法,通过它可以做出病理诊断和发现寻求别的辅助方法,以达到准确,完整的病理诊断。苏木精染液为碱性 ,主要使细胞核内的染色质与胞质内的核糖体着紫蓝色 ;伊红为酸性染料 ,主要使细胞质和细胞外基质中的成分着红色 。HE染色法是组织学、胚胎学、病理学教学与科研中基本、使用广泛的技术方法。
HE染色步骤:一般包含取材固定,脱水透明,浸蜡包埋,切片与贴片,脱蜡染色,脱水透明,封固等步骤。
HE染色服务内容
1.包埋,切片,染色,拍照等
2.其他特殊染色,如普鲁士染色,Masson染色等
产品咨询