欢迎来到乐鱼网页版登录入口网站!



相关文章
Related Articles详细介绍
1取材及冷冻
切取组织时应使用锋利的刀、剪,切取组织块时,从刀的根部开始向后拉动切开组织。组织块的厚度约为0.2~0.3cm,大小为1.5cm×1.5cm x 0.3cm为宜。将要切取的平面朝下放到塑料包埋盒底部,在液氮表面停留约30秒把组织冻硬,注意停留太久易使组织冻裂。立即把冻硬的组织块装入自封袋中保存于-80℃低温冰箱。
2切片
切片前将组织样本置于-20℃冰箱内复温30 min,切片厚度为5~7 μm,太厚贴片不牢固,更不利于镜下观察。包埋可用OCT,也可用胶水代替。用高粘度胶水在支撑架上滴加形成一个小台,将组织放上,在组织周围用胶水包埋一下放在冷台上冷冻。包埋使组织上、下方有一定的边,有利于连续切片,而且展片时可以避免组织皱缩。待组织达适当硬度即可切片,切片时组织的冷冻程度是切片的关键环节,冻得过硬,切片呈碎屑状;冻得不够,切片呈粥糜状或切不成片。
3贴片和固定
载玻片必须预先处理,常用多聚赖氨酸包被。需要注意多聚赖氨酸不可反复使用,且不能用玻璃容器存放。将切片小心贴附于载玻片上,贴片时手要稳,并且手要有一个向下伸展的动作,立即将切片放入固定液中。以往的经验用吹风机吹干再固定,但干后的组织容易在冲洗时脱片,并且组织细胞发生退行性变;另外,可溶性抗原不能晾干,应立即固定。固定液的选择因抗原而异,但一般抗原可用4℃预冷的丙酮固定15 min,此固定剂比较温和,对抗原保存较好。
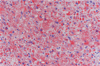
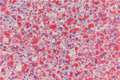
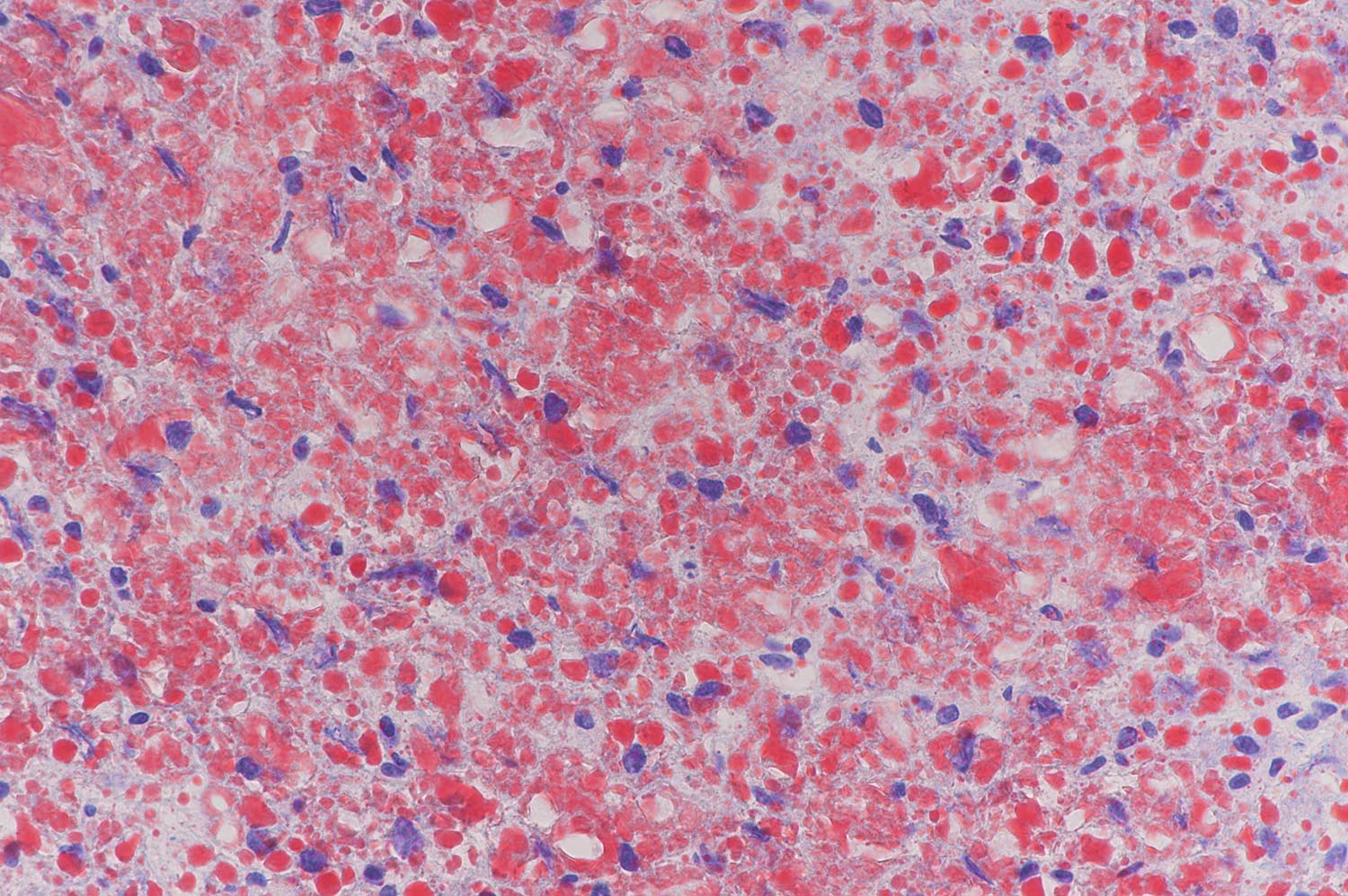
4 油红O染色步骤
(1)切片用4%甲醛固定10分钟;
(2)蒸馏水洗;
(3)60%异丙醇浸洗;
(4)油红O染液10分钟(染液可回收再利用);
(5)60%异丙醇分色至背景无色;
(6)蒸馏水洗;
(7)Mayer苏木精复染;
(8)自来水洗(蓝化)1~3分钟;
(9)蒸馏水洗;
(10)甘油明胶封片。
5 图像采集
通过显微镜拍照,采集分析样本相关部位。
产品咨询