欢迎来到乐鱼网页版登录入口网站!



相关文章
Related Articles详细介绍
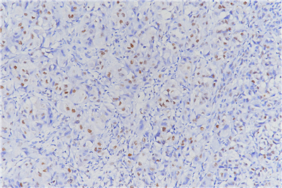
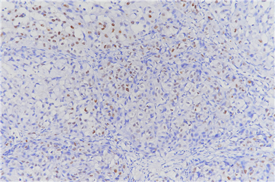
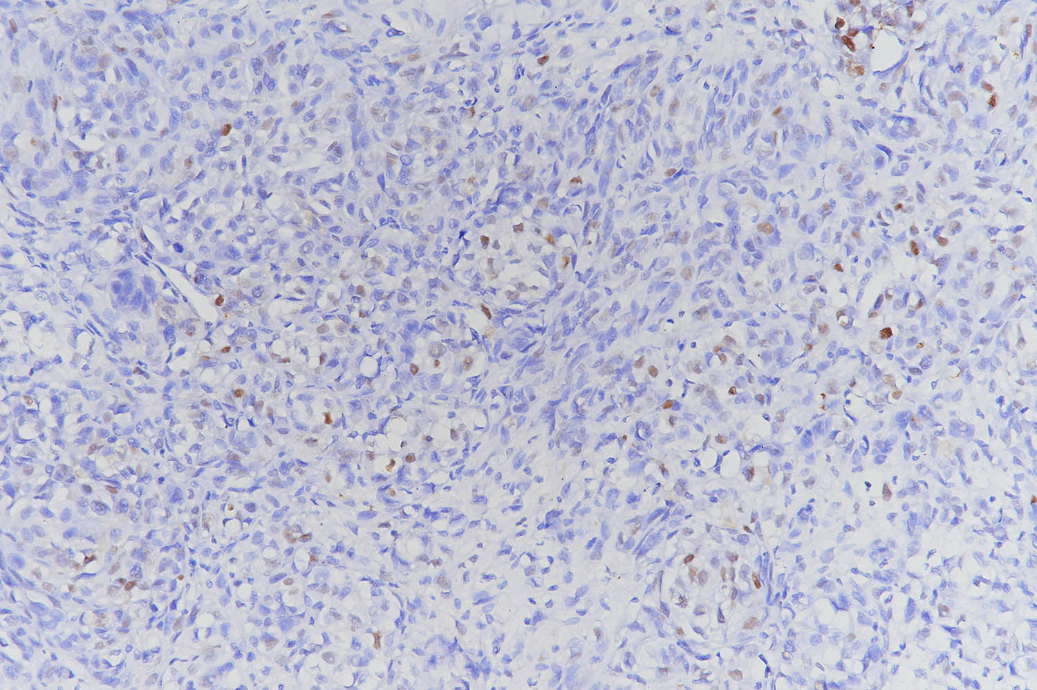
TUNEL染色操作方法:
(1)固定:将细胞爬片用0.02M PBS洗去培养基,再用4%甲醛固定30min,0.02M PBS洗3min×3次。
(2)消化:将细胞爬片浸入胰蛋白酶内消化40分钟,PBS洗3min×3次。
(3)制备TUNEL反应混合液,用50μl TdT+450μl 荧光素标记的dUTP液混匀。
(4)加50μl TUNEL反应混合液于细胞爬片上,在暗湿盒中反应37℃反应1h;PBS洗3min×3次。
(5)加50ul POD于细胞爬片上,在暗湿盒中反应37℃×30min,PBS洗3min×3次。
(6)DAB染色3-10min,自来水冲洗,苏木素复染, 1%盐酸酒精分化,显微镜下观察,控制染色程度。
(7)脱水:75%酒精、85%酒精、95%酒精、100%酒精,逐级脱水、各3min。
(8)透明:二甲苯透明3min×2次。
(9)中性树胶封片。
(10)通过显微镜采集分析样本相关部位,计算凋亡率。
产品咨询