欢迎来到乐鱼网页版登录入口网站!

相关文章
Related Articles详细介绍
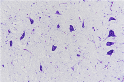
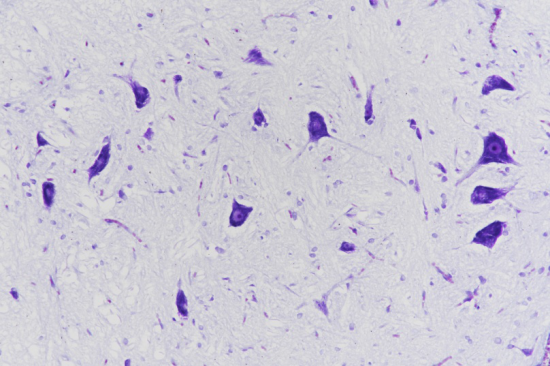
神经元细胞体包括一个具有皱褶核膜的大细胞核、稀疏的染色质和一个明显的核仁。在细胞体中细胞质是尼氏颗粒,即能够代表粗面内质网并在很多神经元中产生特异的斑点状嗜碱性表现的嗜碱性颗粒。尼氏颗粒可以用很多染色来显示如中性红、亚甲基蓝、甲苯胺蓝和甲基紫等。染色的变异、pH和分化的时间使一些染色既可以仅突出尼氏物质,也可以显示神经元的细胞核和神经胶质。各种神经细胞内都含有尼氏体,但其形状、数量、分布位置常常不同。尼氏体也存在于树突中,但不在于轴突和胞体的轴丘。尼氏体会因为生理状态的变化而变化,尼氏体是神经元内合成蛋白质合成的重要部位,当神经元受到刺激后,胞体内的尼氏体会明显减少。通常尼氏体能被碱性染料如硫堇、亚甲蓝、甲苯胺蓝和焦油紫等染料染成紫蓝色。
染色结果:尼氏体呈紫色、细胞核呈蓝色
石蜡样本常温保存运输;冰冻切片样本-20度保存运输;
产品咨询