欢迎来到乐鱼网页版登录入口网站!肿瘤坏死因子(TNF)是一种促炎细胞因子,对维持组织稳态至关重要。它通过与TNF受体1(TNFR1)结合,激活炎症相关基因转录,调控丝裂原活化蛋白激酶(MAPK)和核因子κB(NF-κB)通路,从而引发炎症反应。不过,TNF引发的细胞凋亡和坏死性凋亡也可能导致多种炎症性疾病。受体相互作用丝氨酸/苏氨酸蛋白激酶1(RIPK1)是TNF信号通路中的关键节点,它能协调细胞的生存与死亡。RIPK1的支架功能可诱导炎症和细胞存活,而其激酶功能则与凋亡和坏死性凋亡相关。
近日,中国科学院上海有机化学研究所生物与化学交叉研究中心许代超团队与华中科技大学同济医学院附属协和医院顾劲扬团队合作,在 Cell 子刊Molecular Cell 上发表了题为:“Palmitoylationlicenses RIPK1 kinase
activity and cytotoxicity in the TNF pathway”的研究论文。该研究揭示了泛素化依赖性的棕榈酰化允许RIPK1激酶活性以诱导下游细胞死亡信号传导,并表明RIPK1棕榈酰化可能是炎症性疾病的一个可行靶点。这一发现为理解RIPK1激酶激活提供了新的视角,并提出了针对RIPK1棕榈酰化的潜在治疗策略。

1)TNF刺激下的RIPK1棕榈酰化
质谱分析筛选出三个酰基化蛋白:RIPK1、TNFR1和TAB3。经2-BP处理后,RIPK1和TNFR1的棕榈酰化显著减少,表明它们是2-BP敏感的棕榈酰化底物。在HEK293T细胞中,2-BP处理使FLAG-RIPK1的棕榈酰化水平降低,确认了RIPK1的棕榈酰化。TNF-α刺激下,MEFs中RIPK1的棕榈酰化水平增加,呈现高分子量条带,提示泛素化修饰存在。小鼠体内实验也显示,TNF-α刺激后肝脏组织中RIPK1的棕榈酰化水平增加。研究表明,RIPK1在TNF刺激下被棕榈酰化,且这种棕榈酰化可被2-BP抑制。

图1
TNF刺激下的RIPK1棕榈酰化
2)棕榈酰化促进RIPK1激酶活性
通过优化的ABE实验,使用NMM标记并经质谱鉴定,发现RIPK1的Cys257(C257)是主要棕榈酰化位点。在TNF刺激下,C257S突变体细胞系的RIPK1棕榈酰化显著降低,其他位点突变影响较小。CRISPR-Cas9技术生成的Ripk1C257S/C257S敲入小鼠的MEFs和肝脏组织中,TNF诱导的RIPK1棕榈酰化也显著降低。NanoBiT技术验证表明,2-BP处理或C257S突变显著减少RIPK1激酶结构域的同源相互作用。这些结果确定了Cys257是RIPK1的主要棕榈酰化位点,并揭示棕榈酰化促进RIPK1激酶活性和激酶结构域的同源相互作用。

图2棕榈酰化促进RIPK1激酶活性
3)棕榈酰化增加RIPK1细胞毒性
在MEFs中抑制保护性检查点并结合2-BP或RIPK1-C257S突变,可显著减少TNF诱导的RIPK1激酶依赖性凋亡。2-BP处理或C257S突变降低RIPK1激酶活性及caspase-3切割,减少复合物IIb形成,表明RIPK1棕榈酰化对复合物IIb组装至关重要。实验显示,2-BP处理或RIPK1-C257S突变能提高小鼠在TNF-α刺激下的存活率,证明抑制RIPK1棕榈酰化可保护小鼠免受TNF诱导的致死效应,且RIPK1棕榈酰化在促进细胞毒性中起重要作用。

图3 RIPK1棕榈酰化增加细胞毒性
4)DHHC5介导RIPK1棕榈酰化
通过短发夹RNA敲低23个DHHC家族成员,筛选出6个PAT,其中DHHC5被验证为关键的RIPK1棕榈酰化酶。在DHHC5敲低或缺失的MEFs中,TNF诱导的RIPK1棕榈酰化显著减少,表明其特异性参与且是必要条件。体外实验显示,野生型DHHC5能有效催化RIPK1棕榈酰化,而催化失活突变体DHHC5-C134S及RIPK1-C257S突变体则不能。邻近连接实验表明,TNF处理后MEFs中RIPK1与DHHC5有显著相互作用,且在SM-164处理后消失,提示cIAP1/2介导的泛素化促进DHHC5与RIPK1结合。免疫沉淀实验表明,DHHC5在TNF刺激下被募集到复合物I中,且主要依赖K63连接的泛素链。DHHC5是催化RIPK1棕榈酰化的PAT。

图4
DHHC5介导RIPK1棕榈酰化
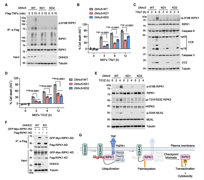
5)DHHC5促进RIPK1激酶活性和细胞毒性
在DHHC5缺失的MEFs中,TNF刺激后复合物I中的p-S166
RIPK1水平显著降低,表明DHHC5对RIPK1激酶激活至关重要。DHHC5缺失的细胞对T/5z7诱导的RDA和T/C/Z诱导的坏死性凋亡敏感性降低,且RIPK1和caspase的激活及复合物IIb的形成减少,提示DHHC5通过促进RIPK1激酶活性调控复合物IIb组装。同时,DHHC5缺失导致p-S166
RIPK1、p-T231/S232 RIPK3、p-S345
MLKL和坏死小体形成减少,表明其是RIPK1依赖性坏死性凋亡的关键调控因子。免疫共沉淀实验显示,DHHC5缺失显著降低RIPK1激酶结构域之间的同源相互作用,支持DHHC5通过促进RIPK1棕榈酰化增强其激酶活性的观点。总之,DHHC5在促进RIPK1激酶活性和细胞毒性中起关键作用。

图5 DHHC5促进RIPK1激酶活性和细胞毒性
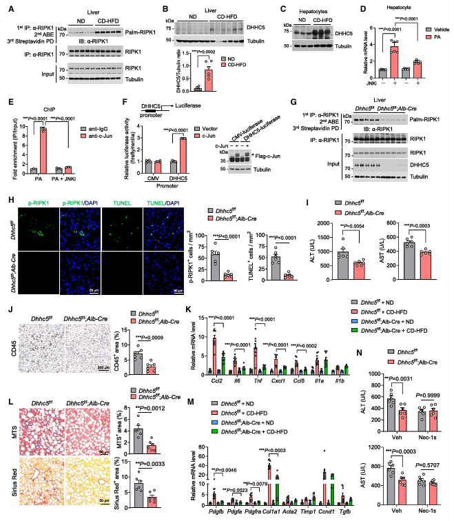
6)脂肪酸放大DHHC5促进RIPK1驱动的肝脏损伤
与正常饮食小鼠相比,胆碱缺乏高脂饮食(CD-HFD)小鼠RIPK1棕榈酰化水平显著增加,DHHC5蛋白水平显著升高,表明在MASH条件下RIPK1棕榈酰化增强且DHHC5特异性上调。棕榈酸(PA)处理原代肝细胞可提高DHHC5
mRNA和蛋白水平,且PA处理肝细胞中c-Jun在DHHC5启动子区域结合增强,表明脂肪酸通过JNK/c-Jun通路诱导DHHC5转录激活。在CD-HFD喂养的小鼠中,DHHC5缺失显著降低RIPK1棕榈酰化水平,减少RIPK1激酶活性、细胞死亡、炎症因子表达及肝纤维化程度,表明抑制DHHC5可缓解MASH引起的肝脏损伤。Nec-1s治疗CD-HFD小鼠可降低ALT和AST水平,进一步证明RIPK1棕榈酰化在MASH相关肝脏损伤中的重要性。总之,在MASH模型中,DHHC5被脂肪酸放大,增加RIPK1棕榈酰化和细胞毒性,导致肝脏损伤加重,而DHHC5缺乏或RIPK1-C257S突变可有效减轻MASH相关肝脏损伤。

图6脂肪酸放大DHHC5促进RIPK1驱动的肝脏损伤
7)RIPK1棕榈酰化缺陷减轻MASH相关肝脏损伤
RIPK1-C257S突变可抑制CD-HFD喂养小鼠的RIPK1激活与细胞死亡,降低血清ALT、AST水平,减少巨噬细胞浸润,降低促炎细胞因子及趋化因子表达,减轻肝脏纤维化,Nec-1s处理则削弱该保护作用。这表明RIPK1-C257S突变通过抑制RIPK1的激活和细胞死亡,有效减轻MASH相关的肝脏损伤、炎症反应和纤维化进程。

图7
RIPK1棕榈酰化缺陷减轻MASH相关肝脏损伤
文章小结
研究首次揭示了泛素化依赖性的棕榈酰化允许RIPK1激酶活性以诱导下游细胞死亡信号传导,并表明RIPK1棕榈酰化可能是炎症性疾病的一个可行靶点。这一发现为理解RIPK1激酶激活提供了新的视角,并提出了针对RIPK1棕榈酰化的潜在治疗策略。