咨询电话

15221734409

当前位置:首页   >  实验服务  >  病理研究实验

  • 扫描电镜

    扫描电镜是1965年发明的较现代的细胞生物学研究工具,它具有制样简单、放大倍数可调范围宽、图像的分辨率高、景深大等特点。近年来,扫描电镜已广泛地应用在生物学、医学、等学科的领域中。

    更新时间:2024-10-26
    浏览量:4587
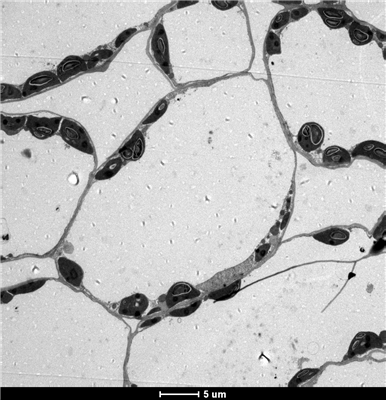
  • 透射电镜

    透射电子显微镜(Transmission Electron Microscope,TEM)是使用颇为广泛的一类电镜。通过发射电子束从而穿过超薄的样品,同时与样本相互作用,既而形成图像。透射电镜H-7650是一台高分辨率成像仪器,使用双狭缝物镜,可以得到独有的低倍大视野,高对比度成像的特点,配有高灵敏度CCD相机,具有低剂量电子束成像的功能;具有更多的自动化功能,如自动聚焦,自动消像散,自动拍照等;具有图像数据功能,测长,图像过滤功能,具有较强的拓展功能。

    更新时间:2024-10-26
    浏览量:4944
  • TUNEL染色

    TUNEL(TdT-mediated DUTP nick end labeling)细胞凋亡检测试剂盒是用来检测组织细胞在凋亡早期过程中细胞核DNA的断裂情况。

    更新时间:2024-10-26
    浏览量:4912
  • TUNEL检测

    TUNEL(TdT-mediated DUTP nick end labeling)细胞凋亡检测试剂盒是用来检测组织细胞在凋亡早期过程中细胞核DNA的断裂情况。

    更新时间:2024-10-26
    浏览量:4606
  • PAS检测

    糖原染色是病理学中常规染色方法之一,该法常用来显示糖原和其他多糖,该技术不仅能显示糖原,还能显示中性粘液性物质和某些酸性物质。

    更新时间:2024-10-26
    浏览量:4490
  • 阿利新蓝染色

    阿利新蓝的染色原理在于是类铜钛花青染料,这种阳离子染料与酸性基团结合,也即阿利新蓝与组织内含有的阴离子基团如羧基和硫酸根形成不溶性复合物。分子中带正电荷的盐键与酸性粘多糖物质中带负电荷的酸性集团结合形成不溶性的复合物而呈蓝色,

    更新时间:2024-10-26
    浏览量:5709
  • 组织免疫荧光

    免疫荧光技术(Immunofluorescence technique)又称荧光抗体技术,它是在免疫学、生物化学和显微镜技术的基础上建立起来的一项技术。很早以来就有一些学者试图将抗体分子与一些示踪物质结合,利用抗原抗体反应进行组织或细胞内抗原物质的定位。它是根据抗原抗体反应的原理,先将已知的抗原或抗体标记上荧光基团,再用这种荧光抗体(或抗原)作为探针检查细胞或组织内的相应抗原(或抗体)。利用荧光显微镜可以看见荧光所在的细胞或组织,从而确定抗原或抗体的性质和定位。

    更新时间:2024-10-26
    浏览量:7172
  • 油红O染色

    油红O属于偶氮染料,是很强的脂溶剂和染脂剂,与甘油三酯结合呈小脂滴状。脂溶性染料能溶于组织和细胞中的脂类,它在脂类中的溶解度比在溶剂中大。当组织切片置入染液时,染料则离开染液而溶于组织内的脂质(如脂滴)中,使组织内的脂滴呈橘红色。

    更新时间:2024-10-26
    浏览量:11362
  • 茜素红染色

    成骨分化是干细胞的一个重要特性。在特定的诱导培养基作用一段时间后,干细胞可分化为成骨细胞,在细胞表面沉积钙盐,形成钙结节。应用茜素红的复合物,可用于鉴定干细胞是否已成功向成骨细胞转化。

    更新时间:2024-10-26
    浏览量:9335
18 个  每页 9 个  首页  上一页 12 下一页 尾页 第 2 页
扫码关注

邮箱:https://www.80808888.com

地址:上海市宝山区长江南路180号长江软件园B650

版权所有© 乐鱼网页版登录入口-乐鱼(中国) All Rights Reserved    备案号:沪ICP备2021016661号-1     sitemap.xml    管理登陆    技术支持:化工仪器网    

沪公网安备 31011302006672号